眼周整形

從平凡到迷人,讓眼神更有神采,散發專屬於你的光芒。

  • 眼袋手術

    下眼區域的組織鬆弛後,眼窩脂肪因此膨出而形成「眼袋。手術治療依切口位置不同,可區分為「內開」與「外開」兩種。


    眼袋內開:

    切口在眼瞼內側,手術移除多餘眼袋脂肪。如有淚溝與中臉凹陷問題,能一併補脂治療。


    眼袋外開:

    包含臥蠶保留、淚溝韌帶解離、脂肪移除、脂肪下鋪、筋膜懸吊與贅皮去除等步驟。


    除了改善眼袋問題,能一併治療眼下鬆弛問題。如有外翻問題,可施作「瞼板縮短」加以治療。


    查看更多資訊 ⭢

  • 雙眼皮手術

    透過手術讓眼神放大,也能改善眼皮鬆弛、脂肪堆積或不對稱等等問題。


    縫雙眼皮:

    透過縫線創造雙眼皮摺痕。


    割雙眼皮:

    創造雙眼皮摺痕的同時,能夠去除多餘皮膚、脂肪、調整不對稱或者多摺痕等問題。


    查看更多資訊 ⭢

  • 提眼瞼肌手術

    眼瞼下垂遮蓋黑眼球需要做提眼瞼肌手術,能夠增加睜眼的大小,改善視力與外觀。


    瞼板縮短術:

    楔狀切除部分眼瞼板,增加張力與支撐,改善上眼皮下垂。


    筋膜懸吊:

    利用筋膜固定提拉組織,有效改善鬆弛下垂,避免因重力導致眼皮外翻。


    查看更多資訊 ⭢

實際案例

記錄每一次自信綻放

眼袋內開

眼袋內開

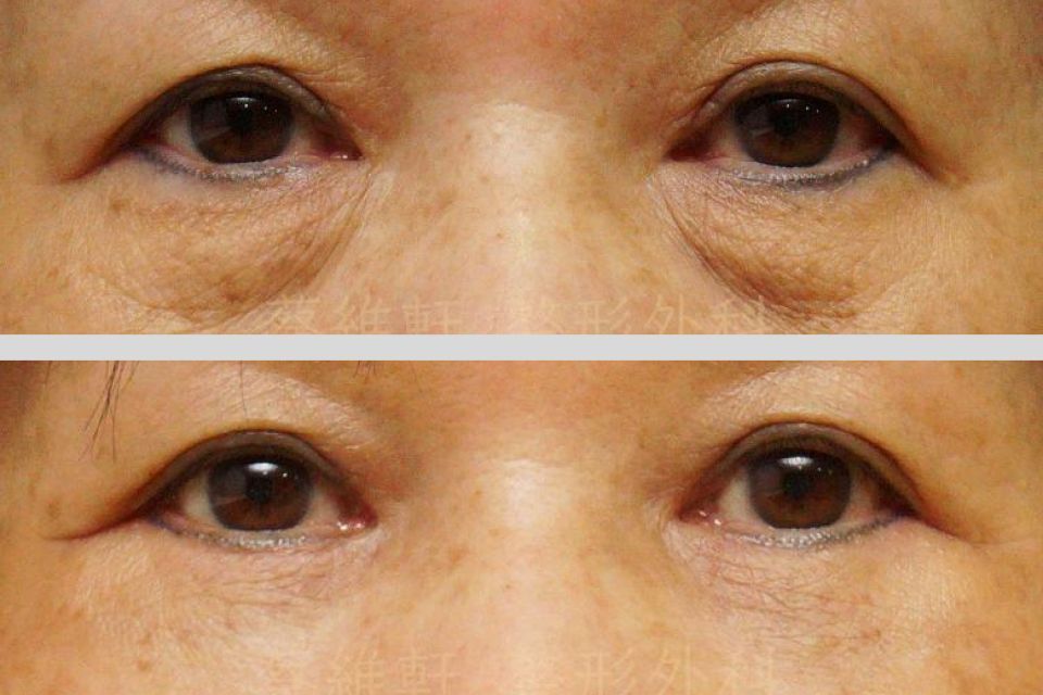
眼袋外開+筋膜懸吊

眼袋外開+筋膜懸吊

眼袋內開

眼袋內開

眼袋外開+筋膜懸吊

眼袋外開+筋膜懸吊

割雙眼皮

兩組眼睛,分別展示了眼瞼成形術前後的對比。下圖上眼瞼的輪廓更加清晰。

割雙眼皮

眼部手術前後對比照片,顯示手術後眼瞼外觀的變化。

割雙眼皮+提眼瞼肌

雙眼皮手術前後的比較照片。

縫雙眼皮(八字縫合)

兩組眼睛:上面的一組顯示閉著的眼瞼,下面的一組顯示睜得更大的眼睛,可能是手術造成的。

割雙眼皮

割雙眼皮

割雙眼皮+提眼瞼肌

縫雙眼皮(八字縫合)

醫美小學堂

用專業角度看醫美真相

.
作者: whtsai0323 2025 Oct 14
眼袋不僅顯老,更讓人看起來疲憊無神?想要有效改善,得先分清眼袋、淚溝與臥蠶!本文詳解手術關鍵:「內開」適合年輕肌膚,無痕恢復快;「外開」針對鬆弛眼皮,能同步回填淚溝並懸吊筋膜,實現中臉拉提。更深入剖析術後擔心的「眼瞼外翻」成因與預防,透過簡易檢測與專業術式降低風險。快點擊閱讀攻略,精準選擇適合療程,找回緊緻明亮的年輕雙眸!
兩張眼睛的特寫照片。上面一組照片顯示的人沒有明顯的眼瞼褶皺;下面一組照片顯示有明顯的眼瞼褶皺。
作者: whtsai0323 2025 Oct 14
想要擁有自然放大的迷人電眼,關鍵在於精準判斷眼型與肌肉功能!本文深入解析「雙眼皮手術」與「提眼瞼肌矯正」,帶您了解縫合與切割術式差異,以及如何改善大小眼與視野受限。快點擊閱讀完整攻略與照護指南,由專業醫師助您擺脫疲憊老態,重塑明亮有神的自信雙眸!

致力於為每位患者提供個性化的醫美服務

無論有任何疑問,或是對於服務感到興趣,都歡迎與我聯繫!